Dr Cyril ACQUAVIVA
Orthodontiste
ACCUEIL
CABINET
ACCÈS
URGENCES
VIDÉOS
FICHES CONSEILS
PRENDRE RDV
QUESTIONNAIRE PRÉ-RDV
CONTACT
ACCUEIL
CABINET
ACCÈS
URGENCES
VIDÉOS
FICHES CONSEILS
PRENDRE RDV
QUESTIONNAIRE PRÉ-RDV
CONTACT
473 avenue Kennedy
13600
LA CIOTAT
+33 4 42 98 10 27
Dr Cyril ACQUAVIVA
Orthodontiste
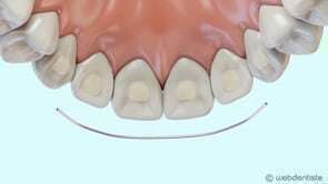
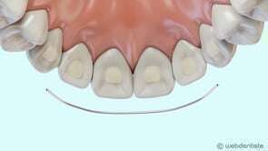
Fil de contention
Vidéos 3D
Partager
Twitter
Partager
Partager
Envoyer
Copier
Dr Cyril ACQUAVIVA
473 avenue Kennedy
13600
LA CIOTAT
+33 4 42 98 10 27
En savoir plus
Politique de confidentialité et charte cookie
Mentions légales
Conditions Générales Utilisation
Charte déontologique
Ordre national
Horaires d'ouverture
Lundi
14h - 19h
Mardi
9h - 14h
,
14h45 - 19h30
Mercredi
9h - 14h
,
14h45 - 19h
Jeudi
14h - 19h
Vendredi
9h - 14h
,
15h - 19h
Samedi
8h - 12h
Dimanche
Fermé
Actualités
ALIMENTS : ALLIÉS ET ENNEMIS
PRÉVENTION DES CARIES CHEZ L’ENFANT : LE SCELLEMENT DE SILLONS
LA PLAQUE DENTAIRE
Recherche
Création par
Connexion